Spring is almost here… and so is allergy season!


Did you know allergies are one of the most common causes of ear infections in dogs? When allergies flare up, inflammation in the skin and ears can create the perfect environment for yeast and bacteria to grow.

Signs your pet may have an ear infection include:

  • Head shaking

  • Scratching at the ears

  • Redness or swelling

  • Odour from the ears

  • Dark debris or discharge


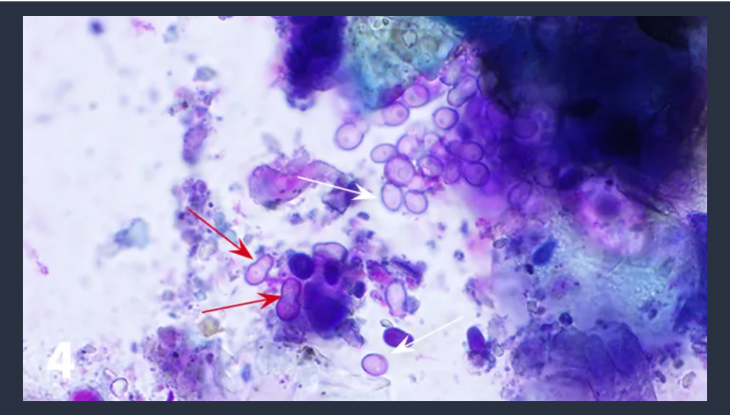
To properly diagnose an ear infection, we perform an ear cytology. This simple test lets us look at a sample from your pet’s ear under the microscope to see exactly what’s going on. We can determine whether the issue is yeast, bacteria (rods or cocci), or inflammation.

Why does this matter? Because knowing the cause allows us to choose the best and most effective treatment for your pet instead of guessing.

Image: Numerous organisms consistent with Malassezia spp. (yeast). Image by: Clinicians Brief


If your pet is diagnosed with an ear infection, please remember to schedule a progress assessment on the last day of treatment (typically 7–14 days) and to complete the full course of prescribed medications.  Rechecks are crucial to ensure:

  • The infection or inflammation is fully resolved

  • There are no ongoing underlying issues (e.g. allergies)

  • Medication is working effectively and not causing side effects

  • Adjustments can be made to the treatment plan if needed

  • Long-term ear health is maintained


What Happens During an Ear Progress Exam:

  1. History and Observation

    • Have symptoms improved? Any side effects?

    • Are you able to administer medications as prescribed?

  2. Otoscope Examination

    • The veterinarian will examine the ear canal for inflammation, debris, or discharge.

    • We assess the health of the ear canal and tympanic membrane (ear drum) if visible.

  3. Ear Cytology

    • A swab is taken from the ear and examined under a microscope to look for:

      • Bacteria (cocci or rods)

      • Yeast (usually Malassezia)

      • Inflammatory cells

  4. Treatment Adjustment

    • Based on the findings, the treatment may be continued, adjusted, or stopped.

    • In some cases, further diagnostics may be recommended.

Key features of a normal ear canal: 1) Smooth, thin canal walls, 2) Wide, open ear canal, 3)Minimal wax or debris 4) No redness, swelling, or odour

Key features of abnormal ear canal: 1) Redness of the ear canal lining 2) thickened ear canal walls 3) debris or discharge 4) narrowed ear canal due to swelling or chronic changes


Typical Recheck Schedule:

  • Initial recheck: 7–14 days after starting treatment

  • Additional rechecks: Every 1–2 weeks until resolved

  • Chronic/recurrent cases: May require regular maintenance rechecks (e.g. every 1–3 months)


Cost of an Ear Progress Assessment:  

We understand that ear infections can become expensive to treat. When you come in for an ear recheck, we offer a discounted combined price for the assessment.


When to Call Before the Scheduled Recheck:

  • Worsening symptoms (e.g. shaking, pain, discharge)

  • New signs of discomfort or swelling

  • Trouble administering medications

  • Hearing loss or head tilt

Previous
Previous

One Small Ligament, One Big Limp; Understanding Cruciate Tears in Dogs

Next
Next

Spaying and Neutering Your Dog or Cat